Conocimos a Gael García Bernal por películas como Amores Perros, El crimen del Padre Amaro o por haber estado en Marvel como un hombre lobo, pero, ¿qué tiene que ver él con una enfermedad pulmonar que predomina en los mineros del carbón?
Bernal es uno de los fundadores de La Corriente del Golfo junto con Alfonso Herrera (si, el de RBD y National Geographic) una casa productora, con películas, documentales, series y un podcast; una de sus películas más conocidas es Chicuarotes.
En dicho proyecto hay una serie web de seis cortos documentales que trata los temas clave de la crisis climática en México a través de las historias y experiencias de activistas medioambientales, defensores de derechos humanos, comunidades indígenas, académicos y organizaciones de la sociedad civil llamado El Tema.

En el episodio 3 de »El Tema» visitan La Florida y Barroteran del estado de Coahuila; lugares donde la minería es uno de los principales trabajos, para hablar sobre el carbón. En el video abordan como los mineros y personas que viven alrededor contraen enfermedades pulmonares, especialmente la Neumoconiosis.
Pero, ¿Qué es la Neumoconiosis?
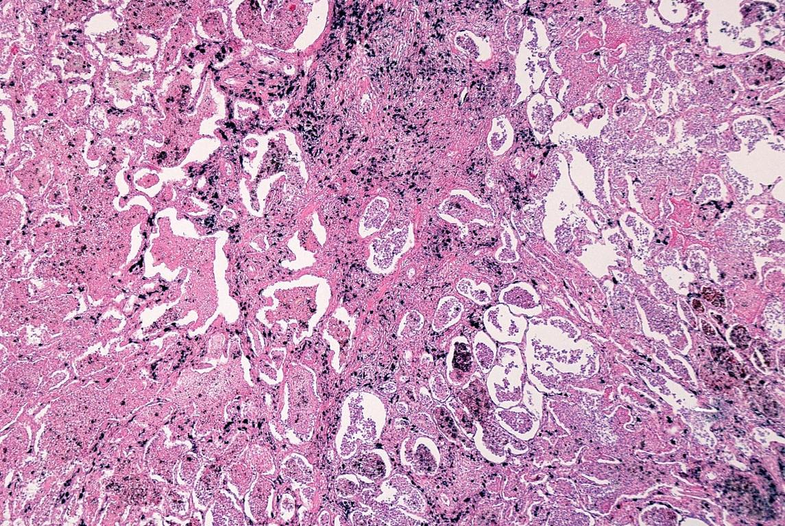
La neumoconiosis de los mineros del carbón (NMC) es la enfermedad del parénquima pulmonar producido por la inhalación y el depósito del polvo del carbón y la reacción titular que provoca, también conocida como »la enfermedad del pulmón negro», es una enfermedad ocupacional que necesita una exposición de 5-10 años.
En la radiología se destacan pequeñas opacidades menores de 1 cm, que predominan en lóbulos superiores de los pulmones y se van extendiendo al resto del pulmón.

Los trabajadores quedan »marcados» con la enfermedad y pueden llegar a formas complicadas como la fibrosis masiva progresiva, caracterizada por opacidades mayores de 1 cm que predomina de igual manera en lóbulos superiores, siendo potencialmente mortal.
Las personas que padecen artritis reumatoide y que han inhalado polvo del carbón pueden presentar el síndrome de Caplan, que consiste en la asociación de nódulos pulmonares de 5 a 50 mm generalmente bilaterales y periféricos.
¿Cómo afecta el ambiente la extracción de carbón?
De acuerdo con estudios del Centro de Investigación sobre Energía y Aire Limpio (CREA) o de Iniciativa Climática de México, para extraer ese carbón se afecta a pueblos, se contamina el aire, se daña el acuífero y provoca enfermedades como la neumoconiosis.
Vía: Hub, B. (s. f.). Minería de carbón deja heridas sin cicatrizar en Coahuila. Border Hub: Periodismo de Investigación.
Los principales yacimientos de carbón se localizan en los estados de Coahuila, Sonora y Oaxaca. Actualmente, México produce alrededor de 13 millones de toneladas anuales (de acuerdo con datos del INEGI) las cuales se producen principalmente en Coahuila, en la Región Carbonífera.
El proyecto »El Tema»’, nos ayuda a concientizar sobre como los trabajos nos pueden producir enfermedades ocupacionales, tales como la NMC y el gran impacto que tiene a nivel local, nacional y global a nivel ambiental.
